ПИК с нов канал в Телеграм
Последвайте ни в Google News Showcase
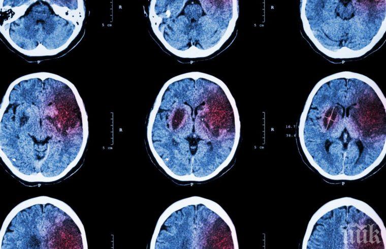
"В последните няколко години имаме категорични данни по съдови територии каква е заболеваемостта и смъртността. Данните са приблизително 11 хиляди мозъчни инсулта и 10 хиляди инфаркта на година."
Това съобщи професор Иво Петров, председател на Българското дружество по едноваскуларна терапия, при откриването на Международния конгрес по ендоваскуларна терапия BEC & ISEVS Endovascular Academy 2019 с домакин Българското дружество по едноваскуларна терапия. Форумът се до 1 декември в София Тех Парк в столицата.
"Инсултите са малко повече, това е някаква българска специфична особеност. В Европа е точно обратното. Обикновено инфарктите са малко повече от инсултите, но може би е въпрос на начин на живот, липса на профилактика", отбеляза Петров.
По думите му, откакто България се включи в европейската инициатива "Stand for life" ("Стент за живот"), за последните 5 години вътреболничната смъртност от остър миокарден инфаркт е намаляла три пъти.
"Сърдечно-съдовите заболявания не само в България, но и в много страни в Европа и в Америка са убиец номер едно. За съжаление, България е един от лидерите като процент на сърдечно-съдовата смъртност спрямо общата. Профилактиката, ранното диагностициране и лечението на сърдечно-съдовите заболявания трябва да бъде мисия не само на лекарите и на лекарското съсловие, но и също така и на институциите и на държавата. И се надявам, че това се случва", каза още Иво Петров.


