ПИК с нов канал в Телеграм
Последвайте ни в Google News Showcase
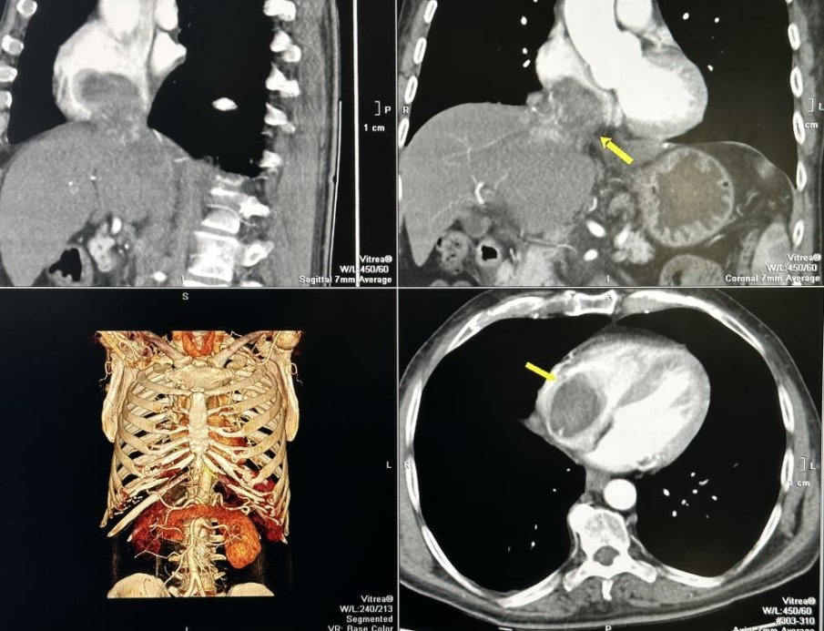
Лекари от болница “Проф. Александър Чирков“ спасиха пациент с огромен тумор в сърцето и черния дроб. Рядката операция е извършена на 60-годишен мъж, който вече се възстановява, съобщиха от лечебното заведение.
Туморът с размери 7 на 9 см. е ангажирал и изпълнил почти изцяло кухината на дясното предсърдие на сърцето и е застрашавал да запуши белодробните артерии и белия дроб.
От болницата уточняват, че след постъпването на пациента е направен скенер, от който се установяват злокачествените образувания в кухините на сърцето и наличието на две огромни туморни огнища в черния дроб.
Екип на Клиниката по кардиохирургия под ръководството на проф. Димитър Петков премахва напълно туморите от сърцето и от цялата долна празна вена, намираща се в чернодробния участък.
Пациентът е стабилизиран, в добро общо състояние и вече е изписан от лечебното заведение. Очакват се резултатите от хистологичния анализ, от които ще се установи какво да бъде последващото лечение.
Канадски лекари въвеждат новаторско лечение на мозъчен тумор
За кардиохирурзите от УМБАЛ „Проф. д-р Александър Чирков“ подобни операции не са рядкост. Преди два месеца лекарите отстраниха 10 см. тумор от сърцето на 40-годишен пациент. Тези образувания могат да бъдат доброкачествени, злокачествени, вследствие на инфекции и вродени състояния.
Средно годишно там постъпват около 10-12 пациента с подобна диагноза.


