ПИК с нов канал в Телеграм
Последвайте ни в Google News Showcase
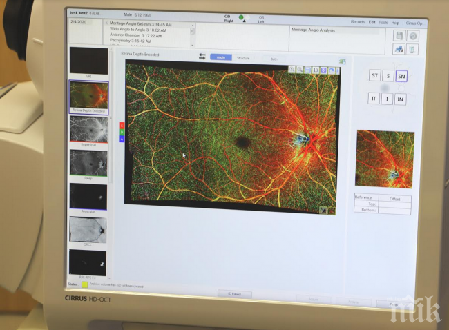
Последно поколение оптичен кохерентен томограф CIRRUS ND-OCT на фирмата ZEISS вече е на разположение на специалистите от Клиника по очни болести на Военномедицинска академия (ВМА).
Прецизност, точна диагностика и възможност за проследяване на заболяването са предимствата на новия апарат. Той намира приложение при пациенти с макулна дегенерация, глаукома, диабетна ретинопатия, оклузия на съдовете на ретината. Новата апаратура позволява извършването на неинвазивна и безболезнена за пациентите диагностика при съмнение за макулна дегенерация. Досега това ставаше посредством флуоресцентна ангиография чрез поставяне на контрастно вещество венозно. Алергичните към някои от багрилата пациенти обаче не можеха да бъдат изследвани веднага, а само след подготовка. С тази методика се дава възможност заболяванията да се проследяват в динамика, съобщават от пресцентъра на ВМА.
Апаратът има вграден сканиращ лазерен офталмоскоп, който дава прецизен образ на очното дъно и при възпалителни заболявания на ретината, както и за установяване на диабетен макулен оток. Специална приставка позволява изследване при заболявания на очен сегмент и специално на роговицата при някои генетични заболявания, коментираха специалистите от Клиниката по очни болести на ВМА.


