ГОРЕЩО
Чистката в МВР продължава! Дечев смени тримата зам.-директори на СДВР
Избраха Карина Караиванова - Ганозова за подуправител на БНБ
ЗВУЧНА ПЛЕСНИЦА! Тошко Йорданов гневен: В тази ситуация сме заради политическата алчност на Асен Василев (ВИДЕО)
ИЗВЪНРЕДНО! Делян Пеевски след решението за Съвета за мир: Петроханците днес приключиха! (ВИДЕО)
ОТ ПОСЛЕДНИТЕ МИНУТИ! След предложението на Делян Пеевски: Парламентът задължи МС да внесе закон за ратифицирането на Споразумението за мир
Виктория Георгиева снима клип в "Арена Бургас"
19091
на 20.05.2020
За първи път правителството заседава онлайн - ето какви решения взе
16282
на 18.03.2020
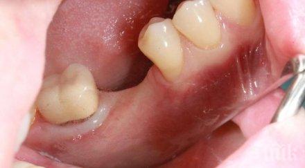
Избиха зъб на 13-годишно момче на спортна площадка в Благоевград
5832
на 11.11.2019
Пловдив става строителна площадка от зали и стадиони
13712
на 08.11.2019
Челопек ще има нов водопровод за 1,3 млн. лв.
7714
на 21.10.2019
Фандъкова: Инвестирахме 25 млн. лева за 10 години в "Кремиковци"
23120
на 19.07.2019
Най-малко 18 пострадали, след като автомобил се вряза в хора в Колумбия
4423
на 02.07.2019
ПОТРЕС: Деца играят физическо в класни стаи в 400 школа
5936
на 28.06.2019
ДЪРЖАВАТА СЕ ТРЕСЕ: Цветанов си купува ЧЕЗ зад гърба на Борисов?
349494
на 23.06.2019
Ремонтират зоопарка във Варна за 1,2 млн. лева
4886
на 15.06.2019
АТАКА възражда с. Маломир! Нова спортна площадка, младежки клуб и музей
14027
на 20.05.2019
Избор на редактора
ПОСЛЕДНИ НОВИНИ
Велосипедист загина при катастрофа в Разградско
779
преди 3 минути
Легионерска болест уби възрастна жена от Бургас след екскурзия до Турция
2013
преди 6 минути
Любен Дилов връчи Оскар на ППДБ - ето за какво (ВИДЕО)
26361
преди 17 минути
ЗАВРЪЩАНЕ: Халф на Ботев Пловдив пак в националния отбор
2273
преди 23 минути
Прокуратурата, ЦИК, МВР и ДАНС проведоха среща за изборите (СНИМКИ)
5010
преди 24 минути
Украйна спря добива на газ от газохранилищата
4156
преди 29 минути
ДИВ СКАНДАЛ: Бесен шофьор счупи предното стъкло на кола
8690
преди 43 минути
Чистката в МВР продължава! Дечев смени тримата зам.-директори на СДВР
45047
преди 1 часа
Полски гражданин е арестуван в Гърция по обвинение в шпионаж
4738
преди 1 часа
Избраха Карина Караиванова - Ганозова за подуправител на БНБ
21900
преди 1 часа


