ПИК с нов канал в Телеграм
Последвайте ни в Google News Showcase
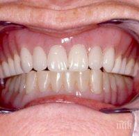
Предложение на здравното министерство - Здравната каса да покрива зъбните протези на възрастните хора.
Идеята е от 1-ви юли тази година НЗОК да плаща протезите на пенсионерите над 75 години. От началото на следващата 2018-а - на пенсионерите между 70-74 години, а след това и на по-младите пенсионери - от 65 до 69 години. Между идеята за безплатните протези и реалността обаче стоят политиката и парите, съобщи Нова телевизия.
За да функционира наредбата и пенсионерите да не плащат за протезите си, ще трябват приблизително 20 милиона лева от бюджета на Здравната каса. Според изчисленията, до края на годината от възможността за безплатни протези може да се възползват около 120 хиляди души.
Засега обаче не е ясно откъде ще дойдат парите. От стенограма разбираме, че според управителя на Здравната каса няма пари за безплатни протези на възрастните. Освен това изпълнението на наредбата ще остане в ръцете на новия здравен министър. И така може да си остане само намерение


